ISCRIZIONE PROFESSIONISTI
ProntoPro
Estrazione Dente
Barletta Andria Trani
Barletta
Dott.ssa Ilaria Fruscio
Estrazione Dente
·
registrato 11 mese/i fa
Barletta Andria Trani
Barletta
INIZIA
Feedback dei clienti
Richiedi preventivi per prendere visione delle recensioni.
Controlli di sicurezza
Indirizzo e-mail valido
Indirizzo valido
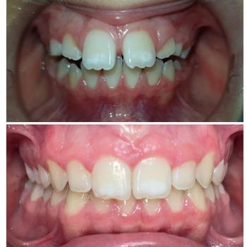
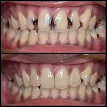
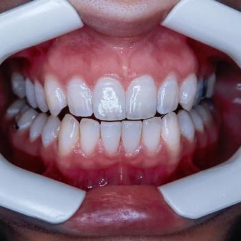
Alla Dott.ssa Ilaria Fruscio-Dental Clinic uniamo tecnologia, estetica e attenzione alla persona. Offriamo trattamenti personalizzati con approccio estetico, minimamente invasivo e digitale, come l’ortodonzia con allineatori invisibili Invisalign, l’ implantologia computer-guidata e le faccette estetiche, per risultati naturali, rapidi e sicuri. Ogni sorriso è unico: per questo dedichiamo tempo all’ascolto, alla prevenzione e ad un’estetica dentale che valorizzi l’armonia del volto. Scegliere noi significa affidarsi a mani esperte, in un ambiente accogliente dove il paziente è sempre al centro.
X
Ottieni 4 preventivi per Estrazione Dente dai Professionisti disponibili e confrontali.
200 Dentisti Estrazione Dente sono pronti a fornire il proprio servizio.
INIZIA
Richiedi un preventivo >
Ottieni fino a 4 preventivi per Estrazione Dente