ISCRIZIONE PROFESSIONISTI
ProntoPro
Apparecchio Denti
Barletta Andria Trani
Barletta
Dott.ssa Ilaria Fruscio
Apparecchio Denti
·
registrato 12 mese/i fa
Barletta Andria Trani
Barletta
INIZIA
Feedback dei clienti
Richiedi preventivi per prendere visione delle recensioni.
Controlli di sicurezza
Indirizzo e-mail valido
Indirizzo valido
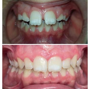
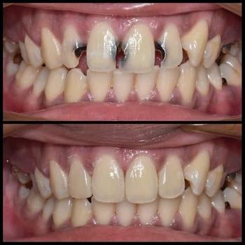
Alla Dott.ssa Ilaria Fruscio-Dental Clinic uniamo tecnologia, estetica e attenzione alla persona. Offriamo trattamenti personalizzati con approccio estetico, minimamente invasivo e digitale, come l’ortodonzia con allineatori invisibili Invisalign, l’ implantologia computer-guidata e le faccette estetiche, per risultati naturali, rapidi e sicuri. Ogni sorriso è unico: per questo dedichiamo tempo all’ascolto, alla prevenzione e ad un’estetica dentale che valorizzi l’armonia del volto. Scegliere noi significa affidarsi a mani esperte, in un ambiente accogliente dove il paziente è sempre al centro.
X
Ottieni 5 preventivi per Apparecchio Denti dai Professionisti disponibili e confrontali.
206 Dentisti Apparecchio Denti sono pronti a fornire il proprio servizio.
INIZIA
Richiedi un preventivo >
Ottieni fino a 5 preventivi per Apparecchio Denti