ISCRIZIONE PROFESSIONISTI
ProntoPro
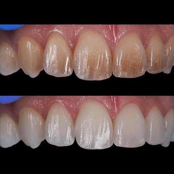
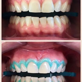
Sbiancamento Denti
Roma
Roma
Studio dentistico Scalzo
Sbiancamento Denti
·
registrato 2 anno/i fa
Roma
Roma
INIZIA
Feedback dei clienti
Richiedi preventivi per prendere visione delle recensioni.
Controlli di sicurezza
Indirizzo e-mail valido
Indirizzo valido
Carta d'identità valida
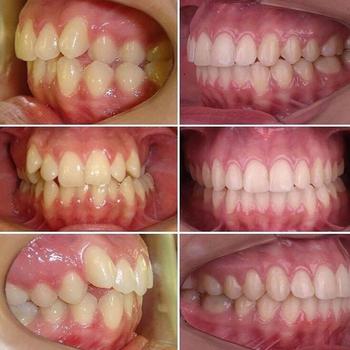
Nel nostro studio offriamo tutti i servizi legati alla salute e bellezza della bocca. Collaboriamo soltanto con personale altamente specializzato, in grado di seguirti per ogni necessità, dal controllo periodico fino a trattamenti di Ortodonzia, Protesi, Implantologia, endodonzia, conservativa, estetica dentale e del viso. Lo studio dentistico è convenzionato con PRONTO-CARE , PREVIMEDICAL , RMB SALUTE, COLDIRETTI e UNISALUTE. Qualità ed innovazione per il benessere e l’estetica del sorriso dentale. Siamo un punto di riferimento anche in medicina estetica non invasiva. Ci troviamo in: via Umberto puppini 8 pal b2 ponte di nona Roma, viale Palmiro Togliatti 1640 Roma
X
Ottieni 4 preventivi per Sbiancamento Denti dai Professionisti disponibili e confrontali.
491 Dentisti Sbiancamento Denti sono pronti a fornire il proprio servizio.
INIZIA
Richiedi un preventivo >
Ottieni fino a 4 preventivi per Sbiancamento Denti