ISCRIZIONE PROFESSIONISTI
ProntoPro
Apparecchio Denti
Siracusa
Pachino
STUDIO GUARNACCIA S.R.L.S.
Apparecchio Denti
·
registrato 5 mese/i fa
Siracusa
Pachino
INIZIA
Feedback dei clienti
Richiedi preventivi per prendere visione delle recensioni.
Controlli di sicurezza
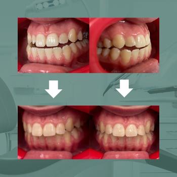
I pazienti scelgono lo Studio Odontoiatrico Guarnaccia perché offriamo cure precise, moderne e personalizzate, con un'attenzione reale al benessere di ogni persona. Siamo specializzati in implantologia, ortodonzia invisibile e igiene dentale professionale, utilizzando tecnologie avanzate e protocolli aggiornati per garantire risultati naturali, comfort e sicurezza. Seguiamo adulti e bambini con un approccio umano, chiaro e trasparente, fornendo piani di cura su misura e un’assistenza continua. Il nostro obiettivo è creare un’esperienza odontoiatrica serena e di qualità, distinguendoci per professionalità, competenza e attenzione ai dettagli.
X
Ottieni 5 preventivi per Apparecchio Denti dai Professionisti disponibili e confrontali.
206 Dentisti Apparecchio Denti sono pronti a fornire il proprio servizio.
INIZIA
Richiedi un preventivo >
Ottieni fino a 5 preventivi per Apparecchio Denti